Notre cabinet assure le traitement des prélèvements d'histologie et de cytologie, ainsi que le typage viral HPV dans le cadre du dépistage du cancer du col de l'utérus.
Notre équipe est constituée de 11 technicien(ne)s, 2 cytotechniciennes, 3 coursier(e)s, 7 secrétaires et 9 médecins.

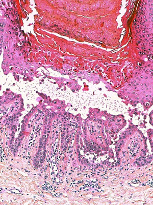
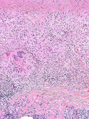
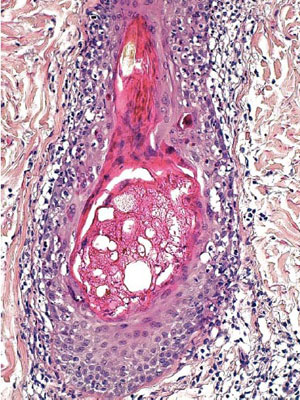
L’anatomo-pathologie est une spécialité médicale visant à l'étude morphologique des anomalies macroscopiques et microscopiques des tissus biologiques et des cellules.
Le médecin exerçant cette spécialité est appelé pathologiste ou anatomo-pathologiste.
L’objectif de celui-ci est de poser des diagnostics, de déterminer les facteurs pronostics et prédictifs d’une maladie ainsi que son évolution, dans le but de donner au médecin clinicien les éléments fondamentaux nécessaires à un traitement et un suivi adapté du patient.

Le diagnostic s’établit sur des images, visualisées au microscope, de prélèvements cellulaires (biopsies, organes ou fragments d’organes, frottis, ponction de liquide).
Ces prélèvements sont réalisés en amont par une sage-femme, un médecin traitant, spécialiste, ou un chirurgien.
Afin que les prélèvements soient visualisables au microscope, les techniciens du cabinet de pathologie vont réaliser sur ceux-ci des coupes ultra-fines, secondairement colorées puis mises sur lame de verre.
Le médecin va ensuite visualiser la lame et poser un diagnostic.
Parfois cette analyse nécessite des techniques plus complexes et plus longues, telles que la technique par immunohistochimie et par biologie moléculaire.
Chaque étape de ce processus a une durée de plusieurs heures à plusieurs jours, c’est pourquoi le résultat peut être rendu dans un délai allant de plusieurs jours à plusieurs semaines au maximum.
L’ensemble de l’équipe de Pyrénées Pathologie, constitué de médecins, techniciennes, coursières et secrétaires, conscient de l’inquiétude que peut créer un tel délai chez le patient, s’efforce au quotidien à tout mettre en œuvre pour que le résultat soit rendu au plus tôt.